明白这一点,你才能真正的看懂《我不是药神》

作者:小库     

       

最近《我不是药神》刷爆了朋友圈,据说这部电影是15年来唯一一部豆瓣评分达到9.0的国产电影,加之内容是医疗相关,作为医疗狗的我按捺不住强烈的好奇心,兴致勃勃地约上闺蜜,为《我不是药神》贡献票房了。




在观影过程中,坐在我旁边的理工科闺蜜一直不在状态,一会小声嘀咕:“握艹,王传君得了白血病,还这么能吃,跟没事人一样,这不科学!”


后来王传君扮演的吕受益因停药疾病快速恶化,走上死亡,闺蜜又怀疑:“没吃药就挂这么快?太戏剧了吧?”


我心里默默骂她不懂装懂,强忍着对她翻白眼的冲动,认真地看完了电影,心想待会就给你好好科普一下“慢粒”(慢性粒细胞白血病)。




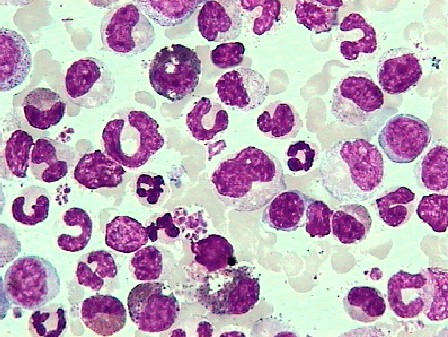
所谓粒细胞,是一种细胞中含有颗粒体的白细胞,正常情况下,粒细胞是由骨髓中的造血干细胞分化而成。当人体的费城染色体发生病变,体内的主要粒细胞就会不受控制地疯狂增长,数量多到挤压正常血细胞的生存空间、抑制骨髓的正常造血,这就是慢性粒细胞白血病。




慢性粒细胞白血病,占各类白血病的15%,发病率为1.6-2/10万。疾病分为三个期:慢性期,加速期,急变期。


慢性期患者症状不明显,主要表现为乏力,腹胀,虚弱,发热,左胸部疼痛,盗汗等非特异性症状,有的患者症状轻到可以忽略,几乎跟正常人一样,电影中的王传君刚开始就是处于慢性期,所以能吃,饭量大也不足为奇。慢性期一般会维持到3~5年,具体视疾病发展程度以及介入治疗情况而定。


讲到这里,闺蜜一脸恍然大悟,我正得意,闺蜜马上嘴硬道:“那王传君怎么挂那么快?还是剧情需要吧?”




我无视她,接着说装作“专家”。


电影里说的“格列宁”就是治疗“慢粒”的首选药物伊马替尼,俗称格列卫(电影中将药名做了处理),前文我们说了“慢粒”的病理原因,罪魁祸首就是粒细胞异常增多,而格列卫的作用就是杀死异常繁殖的粒细胞,而不伤害正常细胞,这是一种靶向治疗(也是癌症治疗中第一个真正意义上的靶向治疗)。这种治疗是直接而有效的,所以称格列卫是慢粒患者的“续命药”,没毛病。


吕受益因停药病情快速发展到急变期,一旦进入到急变期,病情急转直下。此时粒细胞极度增殖,髓外出现大量白细胞浸润,也就是“癌细胞转移”,这时患者的贫血、感染加重,抵抗力极低。病情危急,轻微的感染就能置患者于死地。


电影中医生说的骨髓移植是治愈“慢粒”的唯一方法,但是吕受益一来未必等到合适的骨髓供体,二来就算有合适的供体,处于急变期的吕受益,移植后的预后效果也不好(骨髓移植在疾病确诊后的越早越好,预后效果越好)。


说到这里,我和闺蜜都陷入了沉默。


我脑海里一直回想着那个老奶奶对警察说的话:“谁家能没有个病人,你就能保证一辈子不生病吗?”是的,谁都不能保证不生病,不是这个病,就是那个病,就算除了疾病,还有其他天灾人祸,在这些面前,人多么渺小,多么无奈……




许久,闺蜜打破沉默:“这个病这么可怕,怎么才能预防?”


我的思绪被拉回了现实,清了清嗓子,又吊起书袋子:“你平时多注意保养身体,别熬夜,少吃零食,别减肥不吃饭……”


闺蜜显然对我的答案不满意,给我翻了个大白眼,拆穿我道:“怎么预防,这么重要的知识,你漏背书了吧!”


我一时语塞,不得不跟闺蜜承认,为了更好地理解电影,昨晚在病友家小程序里听了一套《白血病,你不得不知道的11节课》的专题课程,谁知道听着听着睡着了,漏了知识点。


闺蜜哈哈大笑,笑过之后又认真地说道:“我也去听听。”


我看着难得感性的闺蜜,轻轻地点了点头。


这部电影里关于人性的探讨、专利重要还是活着重要、道德和法律站哪边等问题发人深思,但是作为医务工作者,更高兴的是因为这部电影,将会有更多的人了解慢性粒细胞白血病这些罕见病、更多地关注这些患病群体,从而推动罕见病的治疗和药物研发工作。


扫描下面二维码,就可以收听《白血病,你不得不知道的11节课》专题课程,还有更多母婴、儿科、妇科、心血管等的课程等你!


(欢迎转载,注明作者和来源即可)


浏览次数:3196次